Киста почки — доброкачественное новообразование, возникающее у мужчин по различным причинам и часто без явных симптомов. Игнорирование этого состояния может привести к осложнениям, поэтому важно знать признаки и методы лечения. В статье рассмотрим причины появления кисты, ее разновидности, симптомы и эффективные методы лечения, включая хирургическое вмешательство, народные средства и диетические рекомендации. Эта информация поможет читателям распознать проблему и принять меры для сохранения здоровья.
Причина появления кисты почки у мужчин
Киста почки представляет собой доброкачественное образование, состоящее из соединительной ткани и имеющее форму пузырька, наполненного жидкостью. С увеличением объема киста также растет в размерах. Обычно она формируется на одной стороне органа, реже — на обеих. Стенка кисты образована аномально разросшейся тканью. Это заболевание может быть как врожденным, так и приобретенным. При наличии генетической предрасположенности киста может возникать у родителей и других членов семьи.
Существует несколько факторов, способствующих развитию кисты почек:
- наследственная предрасположенность;
- вирусные или инфекционные заболевания матери во время беременности;
- переохлаждение области поясницы;
- инфекционные патологии почек;
- возраст старше 60 лет;
- хронические воспалительные процессы;
- злоупотребление алкоголем;
- гипертония;
- вегетососудистая дистония;
- травмы;
- туберкулез;
- хирургические вмешательства на почках или мочевыводящих путях;
- простатит у мужчин.
Врачи отмечают, что киста почки у мужчин часто протекает бессимптомно, что затрудняет её раннюю диагностику. Однако в некоторых случаях пациенты могут испытывать боли в поясничной области, дискомфорт при мочеиспускании или даже кровь в моче. Важно, чтобы мужчины, особенно старше 40 лет, регулярно проходили медицинские обследования, так как это позволяет выявить проблему на ранней стадии.
Методы лечения зависят от размера и характера кисты. Врач может рекомендовать наблюдение, если киста небольшая и не вызывает симптомов. В случаях, когда киста вызывает болевые ощущения или нарушает функцию почек, может потребоваться аспирация или хирургическое вмешательство. Современные методы, такие как лапароскопия, позволяют минимизировать травматичность операции и ускорить восстановление пациента. Важно помнить, что своевременное обращение к врачу и регулярные обследования играют ключевую роль в успешном лечении.
https://youtube.com/watch?v=8x96rfLFKjU
Виды
Существует два основных типа кист: простые и сложные. Простые кисты представляют собой округлые образования, заполненные прозрачной жидкостью, и встречаются у большинства пациентов. Вероятность их перерождения в злокачественные опухоли крайне мала. Обычно они протекают без заметных симптомов. Сложные кисты, в свою очередь, имеют несколько камер и могут привести к онкологическим заболеваниям. Их внутреннее пространство часто заполняется гнойным экссудатом, и такие образования хорошо снабжаются кровью, что увеличивает риск метастазирования.
Важно отметить, что медицинские препараты (лекарства, витамины, БАД) упоминаются здесь только для ознакомления. Мы настоятельно рекомендуем не использовать их без назначения врача. Рекомендуем ознакомиться с материалом: «Почему нельзя принимать медицинские препараты без назначения врача?».
Классификация кист по происхождению:
- Врожденные.
- Приобретенные.
По характеру течения:
- Единичные.
- Множественные.
По составу жидкости внутри образования:
- С примесями крови.
- Серозная.
- Гнойная.
Классификация кист по структуре:
- Паренхиматозная. Эта киста возникает из-за наследственного фактора. Иногда дети рождаются с такой кистой в почке, но она может пройти самостоятельно. Образование располагается в паренхиме и заполняется серозной жидкостью. В тяжелых случаях внутри кисты может находиться гной с кровью. Обычно такая патология проявляется в единичном варианте.
- Солитарная. Это простое образование, напоминающее шар. Внутри не наблюдается спаек. Киста развивается в паренхиме и чаще всего встречается в единственном экземпляре. Она заполняется жидкостью, схожей по структуре с плазмой крови, и может содержать сгустки крови или гной.
- Синусная. Находится у входа в орган. Образуется в результате увеличения просветов лимфатических сосудов, формируя пузырь, заполненный прозрачной жидкостью. Чаще всего синусные кисты развиваются у женщин старше 50 лет.
- Параллельная. Появляется одновременно на обеих почках и встречается у 2% пациентов с подобной патологией. На ранних стадиях симптомы могут отсутствовать, а болевые ощущения возникают только при увеличении новообразований до 10 см.
| Симптом | Описание | Метод лечения |
|---|---|---|
| Отсутствие симптомов | Киста небольшого размера, не оказывающая давления на окружающие ткани. | Динамическое наблюдение (УЗИ почек 1-2 раза в год) |
| Боль в пояснице или боку | Тупая, ноющая боль, усиливающаяся при физической нагрузке или изменении положения тела. | Обезболивающие препараты (НПВС), дренирование кисты (пункция с аспирацией содержимого), склерозирование кисты. |
| Повышенное артериальное давление | Киста сдавливает почечную артерию, нарушая кровоток в почке. | Гипотензивные препараты, дренирование или удаление кисты. |
| Нарушение мочеиспускания | Учащенное, болезненное мочеиспускание, примесь крови в моче (гематурия). | Антибиотики (при инфекции), дренирование или удаление кисты. |
| Инфекция кисты | Лихорадка, озноб, боль в пояснице, лейкоцитоз в анализе крови. | Антибиотики, дренирование кисты. |
| Разрыв кисты | Острая боль в пояснице, гематурия, снижение артериального давления. | Экстренное хирургическое вмешательство (удаление кисты). |
| Злокачественное перерождение кисты | Подозрение на рак почки (по данным УЗИ, КТ, МРТ). | Хирургическое удаление кисты с частью почки (резекция) или всей почки (нефрэктомия). |
| Гидронефроз | Киста сдавливает мочеточник, нарушая отток мочи из почки. | Дренирование кисты, стентирование мочеточника, удаление кисты. |
| Почечная недостаточность | Нарушение функции почек из-за большого размера кисты или множественных кист. | Симптоматическая терапия, диализ, трансплантация почки (в тяжелых случаях). |
Симптомы
Зачастую заболевание не проявляет себя явными симптомами. На начальных этапах развития пациент не испытывает ни боли, ни дискомфорта. Киста может быть выявлена только при проведении ультразвукового исследования в ходе медицинского осмотра. Ситуация меняется, когда новообразование начинает увеличиваться. Киста начинает оказывать давление на соседние органы, повреждая их ткани. Давление на стенки кисты может привести к ее разрыву.
Симптомы кисты почек:
- боль в поясничной области, усиливающаяся при резких движениях;
- повышение показателей нижнего артериального давления;
- ;
- нарушения кровообращения в почках;
- тупая боль в области мочевого пузыря;
- увеличение размеров почек;
- трудности с мочеиспусканием;
- ухудшение общего состояния здоровья;
- изменение цвета мочи на мутный.
https://youtube.com/watch?v=Z4ndJx67Jug
Лечение
При обследовании мочи пациента выявляется повышенное количество лейкоцитов. Если не начать лечение, это может привести к следующим осложнениям:
- Хроническая почечная недостаточность. Данная патология проявляется частыми позывами к мочеиспусканию, общей слабостью и жаждой. Киста значительных размеров может перекрывать мочеточник и лоханку, а также сжимать сосуды. Это приводит к постепенной атрофии почечной ткани.
- Разрыв кисты. Это крайне опасное осложнение, при котором нарушается оболочка образования, и его содержимое попадает в полость тела. Это может вызвать открытые раны, воспалительные процессы и кровотечения. Жидкость может затекать на листы брюшины, что приводит к перитониту, который сложно поддается лечению и часто становится причиной летального исхода.
Медикаментозное лечение кисты, как правило, не дает желаемых результатов. Поэтому применяется симптоматическая терапия.
Основные цели приема препаратов:
- облегчение болей в поясничной области;
- антибактериальная терапия;
- снижение артериального давления;
- уменьшение воспалительных процессов в слизистой оболочке почек.
Если киста увеличивается до 5 сантиметров, требуется хирургическое вмешательство.
Операция является единственным способом полного удаления кисты. Другие методы лечения направлены на улучшение общего состояния пациента. В случае выявления злокачественных процессов необходимо срочно проводить операцию.
Противопоказания для хирургического вмешательства:
- плохая свертываемость крови;
- острые инфекционные заболевания;
- пожилой возраст;
- сахарный диабет;
- сердечно-сосудистые заболевания;
- острое воспаление в области кисты;
- небольшие размеры образования.
Перед операцией необходимо подготовиться. Рекомендуется отказаться от препаратов, разжижающих кровь, и избегать переохлаждения.
Существуют различные виды операций по удалению кисты:
- Пункция.
- Лапароскопия.
- Ретроградная интраренальная процедура (не применяется для мужчин).
- Открытая операция.
Пункция
Хирургическое вмешательство осуществляется под контролем ультразвукового исследования. Пункция является одним из наименее инвазивных методов лечения кисты почек. Она применяется для новообразований, которые не имеют склонности к перерождению. Процедура выполняется командой, состоящей из уролога, специалиста по УЗИ и медицинского персонала.
Процесс пункции включает следующие этапы:
- После проведения диагностики определяются участки для операции. Врачи выбирают центральную часть кисты для выполнения прокола.
- Пациент располагается на боку, при этом больная сторона обращена к врачу.
- Взрослым пациентам вводится местная анестезия, а детям до 7 лет — общая. Кожа в области прокола обрабатывается антисептическим раствором.
- Киста прокалывается с помощью тонкой иглы, после чего в образовавшееся отверстие устанавливается дренажная трубка.
- После удаления всей жидкости в кисту вводится этиловый спирт, что способствует склеиванию стенок новообразования.
Через две недели пациенту необходимо повторно пройти УЗИ. Это нужно для оценки эффективности проведенной процедуры. Нормальным считается наличие небольшого объема жидкости, которая со временем рассосется самостоятельно.
https://youtube.com/watch?v=b_I4mxh5hT0
Лапароскопия
Метод позволяет эффективно удалять кисты различной величины и сложности. Это один из наименее травматичных способов устранения новообразований.
Процедура лапароскопии осуществляется следующим образом:
- Врач анализирует результаты ультразвукового исследования, чтобы определить пораженный участок и объем предстоящей операции.
- Пациент располагается на спине в горизонтальном положении.
- Операция проводится под общим наркозом как для детей, так и для взрослых.
- Первый прокол выполняется в области пупка, через который вводится газ для создания пространства для работы.
- Два дополнительных прокола делаются рядом с кистой, через которые вводятся инструменты для ее удаления.
- В кисте создается отверстие, и жидкость откачивается. Затем киста отделяется от органа с помощью эндоножниц.
- Устанавливается дренажная трубка для удаления остаточной жидкости, которая будет удалена через 24-48 часов.
- На местах проколов накладываются швы.
Ретроградная интраренальная операция лазером
Процесс удаления кисты осуществляется через уретру мочеточника с использованием тонкого лазерного устройства. Операция проводится под общим наркозом, а сама киста удаляется путем ее выпаривания при высоких температурах. При успешном исходе рецидивы не возникают, и ткани новообразования заживают с образованием рубца.
Некоторые эксперты выражают мнение, что данный метод может быть рискованным из-за возможности перерождения доброкачественной кисты в злокачественную, поэтому его применение в клиниках встречается не так часто. Ретроградная интраренальная операция назначается в тех случаях, когда другие способы удаления новообразования невозможны.
Этот метод лечения не рекомендуется для мужчин из-за особенностей строения их мочевого канала. В среднем его длина составляет около 30 сантиметров, в то время как у женщин она варьируется от 0,5 до 1,5 сантиметров. Это создает риск повреждения уретры из-за ее анатомических изгибов.
Открытая операция
Открытая операция считается одним из самых травматичных методов удаления кисты. Этот подход используется для удаления крупных образований, а также злокачественных опухолей. Открытые операции составляют лишь 5% от общего числа хирургических вмешательств.
Процесс выполнения процедуры выглядит следующим образом:
- Пациента вводят в состояние искусственного сна с помощью общего наркоза.
- Производится разрез мягких тканей для доступа к почке.
- Хирург визуально оценивает объем предстоящей работы.
- Выполняется прокол кисты для удаления жидкости.
- После извлечения содержимого новообразование отсечено.
- Если киста находится внутри почки, то хирург делает разрез на органе.
- Накладывается герметичный шов, чтобы предотвратить утечку жидкости из почки.
Если во время операции выявляются злокачественные изменения тканей, то почка подлежит полному удалению. Такие операции проводятся в экстренном порядке, чтобы избежать распространения метастазов в кровеносную систему.
Диагностика
Болезнь не всегда проявляется явными симптомами, что усложняет процесс диагностики.
Для выявления кисты используются следующие методы исследования:
- Физикальное обследование. Это субъективный метод, при котором врач прощупывает кистозные образования пальцами. Хотя этот способ не обеспечивает точного диагноза, он предоставляет врачу полезную информацию.
- Рутинные анализы. Включают общий анализ крови и мочи. При легком течении заболевания изменения в жидкостях пациента могут отсутствовать. В моче может быть обнаружена повышенная концентрация эритроцитов и лейкоцитов, а в крови — увеличение числа лейкоцитов.
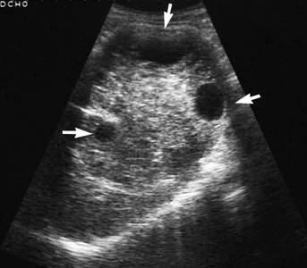
- УЗИ. Ультразвуковая диагностика позволяет выявить любые видимые новообразования в почках. Этот метод обследования является обязательным при подозрении на кисту.
- Компьютерная томография. Данный метод позволяет получить серию рентгеновских снимков в различных плоскостях. Обследование помогает определить не только внешний размер кисты, но и ее внутреннюю структуру, а также выявить возможные раковые изменения в тканях почки.
Диета и народная медицина
Народные методы не способны полностью устранить кисту, однако некоторые рецепты могут эффективно помочь в борьбе с проявлениями заболевания.
Лечение почечных образований в домашних условиях можно осуществлять с использованием следующих растений:
- Красный корень. Это растение обладает умеренными антибактериальными свойствами. Для приготовления настоя необходимо залить 50 г красного корня 1 литром водки. Смесь следует настаивать в течение трех недель. Рекомендуется принимать по 1 чайной ложке за полчаса до еды. Курс лечения составляет один месяц.
- Чистотел. Эта трава известна своими антисептическими свойствами. Для внутреннего применения нужно приготовить отвар, смешав 1 чайную ложку чистотела с 1 литром воды. Важно, чтобы раствор был слабым, чтобы избежать отравления. Смесь следует варить 10-15 минут. Перед употреблением рекомендуется дополнительно разбавить отвар водой. Чистотел является ядовитым растением, поэтому его следует принимать не более одной недели и в небольших дозах.
- Лопух. Сок этого растения обладает жаропонижающим, потогонным и слабительным эффектами. Это помогает уменьшить количество жидкости в организме и немного замедлить рост образования. Листья лопуха нужно тщательно промыть и отжать сок с помощью соковыжималки. Рекомендуется принимать по 1 столовой ложке дважды в день.
В лечение кисты почки также входит диета, которая помогает нормализовать работу организма и облегчить течение заболевания.
Основные принципы диеты заключаются в следующем:
- Исключение соли из рациона. Это поможет снизить количество жидкости в организме, уменьшить отечность тканей и замедлить рост образования.
- Ограничение потребления жидкости в любом виде.
- Отказ от алкоголя и острой пищи.
- Исключение мясных блюд. Белковая пища значительно усложняет работу почек.
Диета является важным аспектом в лечении образований. Она назначается врачом с учетом состояния пациента.
Источники
- Урология. Российские клинические рекомендации / под редакцией Ю. Г. Аляева, П. В. Глыбочко, Д. Ю. Пушкаря. — Москва: ГЭОТАР-Медиа, 2016. — 496 страниц.
- Урология: национальное руководство / под редакцией Н. А. Лопаткина; АСМОК, Российское общество урологов. — краткое издание. — Москва: ГЭОТАР-Медиа, 2012. — 608 страниц.
- Terada N., Ichioka K., Matsuta Y. и др. Естественная история простых почечных кист // J Urol. — 2002; 167(1): 21-23.
- Eissa A., El Sherbiny A., Martorana E. Ненадлежащее консервативное лечение простых почечных кист у взрослых: всесторонний обзор литературы (2018) // Minerva urol Nefrol. — 2018; 70 (2): 179-192.
- Аляев Ю. Г. Диагностика и терапия жидкостных образований почек и забрюшинного пространства / Ю. Г. Аляев, В. А. Григорян, Т. Г. Маркосян. — Смоленск: Маджента, 2007. — 160 страниц.
- Ультразвуковые исследования мочевыделительной системы / Грант М. Бакстер, Пол С. Сидху. Перевод с английского. — Москва, 2008. — 280 страниц.
- Whelan T. F. Рекомендации по управлению заболеваниями почечных кист // Can. Urol. Assoc. J. — 2010; 4(2): 98-99.
- Schoots I. G. и др. Классификация Босняка для сложных почечных кист: переоценка. Систематический обзор // J. Urol, — 2017. 198: 12.
- Врублевский С. Г., Коварский С. Л. Анализ хирургического лечения простых кист почек у детей // Урология. — 2008. — № 1. — С. 60-63.
- Бурцев С. А. Выбор хирургического метода лечения кист почек: Автореферат диссертации … кандидата медицинских наук. — Саратов, 2007. — С. 23.
Осложнения кисты почки
Киста почки — это полостное образование, заполненное жидкостью, которое может возникать в одной или обеих почках. Хотя кисты обычно являются доброкачественными и не вызывают серьезных проблем, в некоторых случаях они могут привести к осложнениям, особенно у мужчин, которые могут быть более подвержены определенным заболеваниям почек.
Одним из наиболее распространенных осложнений является инфекция кисты, которая может привести к пиелонефриту — воспалению почек. Инфекция может возникнуть, если киста разрывается или если в ней скапливается гной. Симптомы инфекции включают лихорадку, озноб, боль в пояснице и болезненное мочеиспускание. В таких случаях необходимо срочное медицинское вмешательство, включая антибиотикотерапию.
Еще одним осложнением является увеличение размера кисты, что может привести к сдавлению окружающих тканей и органов. Это может вызвать боль в пояснице, дискомфорт в животе и даже затруднения при мочеиспускании. В редких случаях крупные кисты могут вызывать гидронефроз — состояние, при котором моча накапливается в почке, что может привести к ее повреждению.
Кисты также могут быть связаны с поликистозом почек — наследственным заболеванием, при котором в почках образуется множество кист. Это состояние может привести к хронической почечной недостаточности, что требует более серьезного лечения, включая диализ или трансплантацию почки.
У мужчин также существует риск развития рака почки на фоне наличия кисты, хотя это происходит довольно редко. Однако, если киста имеет сложную структуру или проявляет атипичные характеристики, врач может рекомендовать дополнительные исследования, такие как КТ или МРТ, для исключения злокачественного процесса.
Важно отметить, что регулярные медицинские осмотры и ультразвуковое исследование почек могут помочь в раннем выявлении осложнений, связанных с кистами. Мужчины, особенно старше 40 лет, должны быть особенно внимательны к симптомам, таким как изменения в мочеиспускании, боль в пояснице или животе, и своевременно обращаться к врачу для диагностики и лечения.
Профилактика кисты почки
У мужчин профилактика кисты почки включает в себя несколько ключевых аспектов, направленных на снижение риска развития данного заболевания и поддержание здоровья почек в целом. Основные меры профилактики можно разделить на несколько категорий: образ жизни, регулярные медицинские обследования и контроль хронических заболеваний.
1. Здоровый образ жизни: Один из самых эффективных способов профилактики кисты почки — это ведение здорового образа жизни. Это включает в себя:
- Сбалансированное питание: Употребление пищи, богатой витаминами и минералами, а также ограничение потребления соли и животных жиров может помочь поддерживать здоровье почек. Рекомендуется включать в рацион больше фруктов, овощей, цельнозерновых продуктов и нежирного белка.
- Регулярная физическая активность: Умеренные физические нагрузки, такие как ходьба, плавание или занятия спортом, способствуют улучшению обмена веществ и кровообращения, что в свою очередь положительно сказывается на состоянии почек.
- Отказ от вредных привычек: Курение и чрезмерное употребление алкоголя могут негативно влиять на здоровье почек. Отказ от этих привычек поможет снизить риск развития различных заболеваний, включая кисты.
2. Регулярные медицинские обследования: Мужчинам, особенно в возрасте старше 40 лет, рекомендуется проходить регулярные медицинские осмотры, включая:
- УЗИ почек: Это исследование позволяет выявить наличие кист и других аномалий на ранних стадиях.
- Анализы крови и мочи: Они помогают оценить функцию почек и выявить возможные отклонения в их работе.
3. Контроль хронических заболеваний: Мужчины, страдающие от хронических заболеваний, таких как диабет или гипертония, должны уделять особое внимание контролю этих состояний. Поддержание нормального уровня сахара в крови и артериального давления может значительно снизить риск развития осложнений, включая кисты почки.
4. Гидратация: Поддержание оптимального уровня гидратации организма также играет важную роль в профилактике заболеваний почек. Рекомендуется пить достаточное количество воды в течение дня, что способствует выведению токсинов и предотвращает образование камней в почках.
Соблюдение этих простых рекомендаций поможет снизить риск развития кисты почки и других заболеваний мочевыводящей системы, а также поддерживать общее здоровье и благополучие мужчин.
Прогноз и последствия для здоровья
Прогноз при наличии кисты почки у мужчин в значительной степени зависит от размера, типа и местоположения кисты, а также от общего состояния здоровья пациента. В большинстве случаев кисты почек являются доброкачественными образованиями и не требуют активного лечения, если они не вызывают симптомов или осложнений. Однако важно понимать, что даже доброкачественные кисты могут иметь последствия для здоровья.
Малые кисты, как правило, не влияют на функцию почек и не приводят к серьезным проблемам. Тем не менее, если киста начинает увеличиваться в размерах, это может привести к сдавлению окружающих тканей и органов, что может вызвать боль, дискомфорт и другие симптомы. В таких случаях может потребоваться медицинское вмешательство.
Кисты почек могут также быть связаны с другими заболеваниями, такими как поликистоз почек, который является наследственным заболеванием и может привести к хронической почечной недостаточности. У мужчин с поликистозом риск развития почечной недостаточности значительно выше, что требует регулярного мониторинга функции почек и, в некоторых случаях, пересадки почки.
Кроме того, кисты могут иногда инфицироваться или разрываться, что может привести к серьезным осложнениям, таким как перитонит или абсцесс. Эти состояния требуют немедленного медицинского вмешательства и могут потребовать хирургического лечения.
Важно также отметить, что наличие кисты почки может быть связано с повышенным риском развития других заболеваний, таких как гипертония и сердечно-сосудистые заболевания. Поэтому мужчинам с кистой почки рекомендуется регулярно проходить медицинские осмотры и следить за своим состоянием здоровья.
В целом, при своевременной диагностике и адекватном наблюдении прогноз для мужчин с кистами почек является благоприятным. Однако важно помнить о необходимости регулярного контроля и обращения к врачу при появлении любых симптомов, связанных с почками.



