Мочекаменная болезнь у мужчин — серьезная медицинская проблема, возникающая из-за нарушения водно-солевого обмена, что приводит к образованию камней в почках и мочевыводящих путях. Патология проявляется различными симптомами, которые часто игнорируются, что может вызвать осложнения и ухудшение качества жизни. В статье рассмотрим основные симптомы мочекаменной болезни, причины ее возникновения и методы лечения, что поможет читателям своевременно распознать проблему и обратиться за медицинской помощью.
Почему образуются камни в мочевыводящих путях?
Мочекаменная болезнь у человека может возникать по множеству причин. Основными факторами, способствующими развитию этой патологии, являются неправильное питание и употребление некачественной воды. В настоящее время существует несколько теорий, объясняющих процесс образования камней, однако ни одна из них не дает полного понимания механизма отложения солей. Рассмотрим основные теории:
- Матричная теория — согласно этой концепции, в первую очередь формируется ядро камня, состоящее из эпителия слизистой оболочки мочевыводящих путей. Под воздействием различных воспалительных процессов эпителиальные клетки начинают отслаиваться и свободно перемещаться в просвете почечной лоханки или мочеточников. Со временем эти клетки группируются и слипаются, образуя ядра, на поверхности которых откладываются различные соли. Процесс роста камня может длиться многие годы, не проявляя никаких клинических симптомов.
- Коллоидная теория — предполагает, что начальным фактором камнеобразования является переход защитного коллоида слизистой оболочки мочевыводящих путей из водорастворимого состояния в жирорастворимое. Это приводит к образованию капель коллоидного вещества в просвете, которые становятся центрами кристаллизации и способствуют образованию камней.
- Ионная теория — утверждает, что изменение рН мочи нарушает распад солей на ионы, которые легко выводятся из организма. В результате соли остаются в своем исходном состоянии и откладываются в мочевых протоках.
- Теория преципитации и кристаллизации — согласно этой теории, камнеобразование происходит из-за чрезмерного насыщения мочи солями, что запускает активный процесс кристаллизации.
- Ингибиторная теория — считает, что мочекаменная болезнь развивается из-за нарушения баланса веществ, регулирующих процесс.
Каждая из этих теорий имеет свои сильные и слабые стороны, однако в настоящее время наиболее распространены теории преципитации и кристаллизации, а также ингибиторная, так как они более полно объясняют механизмы камнеобразования.
Мочекаменная болезнь у мужчин часто проявляется яркими симптомами, которые могут значительно ухудшить качество жизни. Врачи отмечают, что наиболее распространенными признаками являются резкая боль в пояснице, иррадиирующая в нижнюю часть живота, а также болезненное мочеиспускание и наличие крови в моче. Эти симптомы могут возникать в результате движения камней по мочевым путям, что вызывает воспаление и спазмы.
Причины возникновения мочекаменной болезни разнообразны. Врачи выделяют генетическую предрасположенность, неправильное питание, недостаток жидкости и хронические заболевания, такие как диабет или инфекции мочевыводящих путей. Также важным фактором является образ жизни: малоподвижность и злоупотребление алкоголем могут способствовать образованию камней. Понимание этих аспектов позволяет врачам более эффективно диагностировать и лечить данное заболевание, а также рекомендовать профилактические меры для снижения риска его развития.
https://youtube.com/watch?v=Zcsze927jg8
Классификация
Существует большое количество видов камней, что обуславливает необходимость их систематизации. Классификация основана на различиях в размерах, местоположении, составе, рентгенконтрастности и этиологии.
Медицинские препараты (лекарства, витамины, БАД) упоминаются исключительно для ознакомления. Мы настоятельно рекомендуем не использовать их без назначения врача. Рекомендуем ознакомиться с материалом: «Почему нельзя принимать медицинские препараты без назначения врача?».
В зависимости от местоположения выделяют:
- верхние, средние и нижние чашечки;
- нижнюю, среднюю и верхнюю части мочеточника;
- лоханки;
- уретру;
- мочевой пузырь.
По размерам различают:
- до 0,5 см;
- от 0,6 до 1 см;
- от 1,1 до 2 см;
- более 2 см.
Классификация по рентгенконтрастности и химическому составу также имеет большое значение, так как она позволяет определить, с какими микро- или макроэлементами в организме связаны нарушения. Выделяют следующие виды в зависимости от контрастности и состава:
| Рентгеноконтрастные | Малоконтрастные | Неконтрастные |
| Оксалат кальция дигидрат | Магния-аммония фосфат | Кислота мочевая |
| Кальция оксалат моногидрат | Апатит | Аммония урат, 2,8-дигидроксиаденин |
| Кальция фосфат | Цистин | Ксантин, индинавир |
Рецидив камнеобразования может произойти спустя некоторое время после удаления или растворения камней, и этот процесс у человека обусловлен двумя основными факторами риска:
- Недостаточный распад белков и формирование на их основе матрицы, которая служит ядром для отложения солей.
- Изменение рН мочи на фоне ее перенасыщения солями, что приводит к кристаллизации и образованию конкрементов.
| Симптом | Описание | Возможные причины |
|---|---|---|
| Почечная колика | Острая, схваткообразная боль в пояснице, иррадиирующая в пах, мошонку, бедро. Может сопровождаться тошнотой, рвотой, вздутием живота. | Движение камня по мочеточнику, обструкция мочевыводящих путей. |
| Боль при мочеиспускании (дизурия) | Жжение, резь, боль во время или после мочеиспускания. | Раздражение слизистой мочевыводящих путей камнем, воспаление. |
| Частое мочеиспускание (поллакиурия) | Учащенные позывы к мочеиспусканию, часто малыми порциями. | Раздражение мочевого пузыря камнем, воспаление. |
| Кровь в моче (гематурия) | Моча может быть розовой, красной или иметь примеси крови, видимые только под микроскопом. | Травматизация слизистой мочевыводящих путей камнем. |
| Мутная моча | Моча может стать мутной из-за примесей солей, гноя или бактерий. | Наличие солей, инфекция мочевыводящих путей. |
| Повышение температуры тела, озноб | Признаки присоединения инфекции мочевыводящих путей. | Обструкция мочевыводящих путей камнем, приводящая к застою мочи и развитию инфекции. |
| Ощущение неполного опорожнения мочевого пузыря | Постоянное чувство, что мочевой пузырь не полностью опорожнен. | Раздражение мочевого пузыря камнем, нарушение оттока мочи. |
| Снижение объема мочи (олигурия) или отсутствие мочи (анурия) | Крайне редкие или отсутствующие мочеиспускания. | Полная обструкция мочевыводящих путей, чаще всего при двустороннем поражении или при наличии одной почки. |
| Наследственная предрасположенность | Наличие мочекаменной болезни у близких родственников. | Генетические факторы, влияющие на метаболизм и состав мочи. |
| Недостаточное потребление жидкости | Недостаточный объем выпиваемой воды. | Концентрация мочи, способствующая образованию кристаллов. |
| Неправильное питание | Избыток соли, белка, пуринов, оксалатов в рационе. | Изменение pH мочи, увеличение концентрации камнеобразующих веществ. |
| Нарушения обмена веществ | Подагра, гиперпаратиреоз, сахарный диабет. | Изменение состава мочи, повышение уровня кальция, мочевой кислоты, оксалатов. |
| Инфекции мочевыводящих путей | Хронические или рецидивирующие инфекции. | Изменение pH мочи, образование камней инфекционного происхождения (струвитов). |
| Анатомические аномалии мочевыводящих путей | Сужения, дивертикулы, подковообразная почка. | Застой мочи, нарушение ее оттока, что способствует образованию камней. |
| Малоподвижный образ жизни | Отсутствие достаточной физической активности. | Замедление метаболизма, нарушение выведения солей. |
| Прием некоторых лекарственных препаратов | Диуретики, некоторые антибиотики, препараты кальция. | Изменение состава мочи, повышение концентрации камнеобразующих веществ. |
| Хронические заболевания ЖКТ | Болезнь Крона, язвенный колит. | Нарушение всасывания веществ, изменение состава мочи. |
| Жаркий климат, обезвоживание | Повышенное потоотделение, недостаток жидкости. | Концентрация мочи, увеличение риска образования камней. |
Симптомы заболевания
Для данного состояния характерен ряд симптомов, связанных с повреждением слизистой оболочки мочевыводящих путей конкрементами. К основным проявлениям относятся:
- Болевой синдром.
- Наличие крови в моче.
- Проблемы с мочеиспусканием.
- Выведение песка или камней с мочой.
Болевые ощущения являются основными проявлениями заболевания и причиняют значительный дискомфорт пациентам. Интенсивность боли зависит от размера и подвижности камня, а также от нарушений в оттоке мочи. Приступ сильной боли, вызванный движущимся конкрементом, называется почечной коликой. Такое обострение наблюдается в 70% случаев у пациентов с камнями в почках и в 90% — в мочеточниках. Колика возникает внезапно, без видимых причин, как в состоянии покоя, так и при движении. Боль при этом бывает невыносимой и локализуется справа или слева в поясничной области, распространяясь в пах, наружные половые органы и внутреннюю поверхность бедра. Приступы могут длиться от нескольких минут до суток и более.
Наиболее тяжелая форма почечной колики наблюдается при полном перекрытии просвета мочеточника. В этом случае к интенсивной боли добавляются рвота и тошнота, иногда — полное отсутствие стула. При присоединении инфекции может наблюдаться повышение температуры тела и озноб. Кроме того, на фоне болевого приступа происходит рефлекторное нарушение перистальтики кишечника, что приводит к вздутию живота и задержке стула.
Визуально наличие конкрементов можно определить на запущенных стадиях заболевания, однако микроскопически у 70–90% мужчин выявляются эритроциты. Это происходит из-за механического повреждения стенок мочеиспускательного канала о поверхность конкремента.
Нарушения мочеиспускания у пациентов с низко расположенными конкрементами в мочеточниках возникают практически всегда из-за раздражения рецепторов, отвечающих за сокращение стенок мочеточника и мочевого пузыря. Пациенты испытывают частые позывы к мочеиспусканию небольшими порциями, количество ночных мочеиспусканий превышает два-три раза и сопровождается неприятными ощущениями и чувством неполного опорожнения мочевого пузыря.
Выведение камней или песка с мочой является явным признаком мочекаменной болезни. Песок может отходить безболезненно и незаметно для пациента в течение длительного времени. При выведении конкрементов у пациентов возникает почечная колика различной интенсивности, после которой происходит их отхождение.
https://youtube.com/watch?v=OSu4meV3NZc
Диагностика
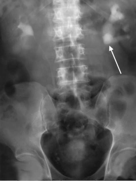
Диагностика мочекаменной болезни основывается на выявлении характерной симптоматики, а также на проведении ультразвуковых и рентгенологических исследований, наряду с анализом лабораторных данных.
В первую очередь пациенты проходят клинический анализ мочи, который позволяет выявить наличие кристаллов, эритроцитов, лейкоцитов, а также изменения pH мочи и бактериурию. Обязательными являются и анализы крови, которые особенно полезны при наличии вторичной инфекции. Они помогают определить степень воспалительного процесса в организме. Для установления типа возбудителя выполняется посев мочи на стерильность, который проводится вместе с тестом на чувствительность к антибиотикам.
Инструментальные методы обследования
При ультразвуковом исследовании почек можно увидеть камни, оценить их размеры, местоположение и изменения в стенках мочевыводящих путей, вызванные их присутствием. Этот метод является ключевым для диагностики мочекаменной болезни.
Обзорная урография позволяет определить рентгеноконтрастные свойства камней, что помогает предположить их состав, а также установить их размеры и расположение.
Экскреторная урография — это важное исследование, которое позволяет оценить функциональное состояние мочевыделительной системы и выявить изменения в чашечно-лоханочной системе, такие как деформации, уплотнения, расширения и дефекты наполнения почечной полости.
К дополнительным методам диагностики относится компьютерная томография, которая позволяет детально оценить изменения в выделительной системе и провести дифференциальную диагностику с другими заболеваниями.
https://youtube.com/watch?v=kUeDhN9CsR8
Лечение
Лечение мочекаменной болезни может осуществляться как консервативными, так и хирургическими методами. Медикаментозная терапия применяется для камней небольшого размера и мягкой консистенции, которые могут быть растворены под воздействием лекарств. В случаях, когда конкременты крупные или имеют высокую плотность, необходимо их активное удаление.
Особое внимание следует уделить оказанию неотложной помощи при приступе почечной колики. Алгоритм действий в такой ситуации включает следующие шаги:
- Обеспечить пациенту полный физический и психологический покой.
- Вызвать скорую медицинскую помощь.
- Эффективным методом является использование горячей ванны, в которую пациента погружают до уровня груди. Тепловые процедуры помогают расслабить мышечные стенки и снизить болевые ощущения.
- Введение спазмолитиков и анальгетиков внутримышечно, таких как Но-шпа, Баралгин, Анальгин, Кетанов и другие.
- Если боль не утихает, можно ввести морфин или промедол.
Важно помнить, что горячие ванны следует применять только при отсутствии подозрений на острый живот, аппендицит и другие хирургические заболевания. Пациенты с приступом почечной колики должны быть направлены в урологическое отделение для дальнейшего лечения.
Аппаратные и оперативные методы удаления камней
В настоящее время экстракорпоральная ударно-волновая литотрипсия является одним из наиболее популярных методов лечения камней в почках. Этот способ позволяет удалять конкременты дистанционно с использованием специализированного оборудования, которое генерирует ультразвуковые волны определенной частоты и длины. Эти волны, проходя через ткани, не наносят им вреда, а воздействуют исключительно на сам камень.
Если применение данной методики невозможно или имеются противопоказания, врачи прибегают к эндоскопическим операциям, таким как чрескожная нефролитотрипсия и контактная уретеролитотрипсия. В процессе первой процедуры эндоскоп вводится через переднюю стенку живота к месту расположения камня, после чего он удаляется. Во втором случае инструмент вводится через мочеиспускательный канал, где осуществляется дробление и удаление камня.
Когда экстракорпоральная ударно-волновая литотрипсия и эндоскопические методы не подходят, применяются открытые хирургические вмешательства. После операции пациентам назначают антибактериальные препараты, дезинтоксикационную и симптоматическую терапию для восстановления здоровья.
Консервативное лечение
Медикаментозное лечение направлено на снятие болевых ощущений и спазмов, и для этого применяются нестероидные противовоспалительные средства и спазмолитики. Обезболивание достигается с помощью таких препаратов, как диклофенак натрия, Анальгин, кеторолак и индометацин, которые могут назначаться в сочетании с Но-шпой.
Для профилактики рецидивов образования камней и их растворения на ранних стадиях важно учитывать структуру камня и реакцию мочи. При кислой среде применяются препараты, содержащие лимонную кислоту, которая, попадая в организм, изменяет pH мочи на щелочной. Эти препараты представлены в виде цитратных смесей и входят в состав таких средств, как Блемарен. Перед основным лечением назначаются препараты, регулирующие уровень мочевой кислоты в крови, например, аллопуринол. При наличии симптомов вторичной инфекции может потребоваться антибактериальная терапия. Также важно соблюдать диету, в которой следует ограничить потребление мясных продуктов и увеличить объем потребляемой жидкости.
При оксалатных камнях также используется лимонная кислота в виде цитратных смесей, а также фитопрепараты, такие как Уролесан и Канефрон. Цитраты помогают предотвратить образование оксалата кальция в почках и кристаллизацию этих солей. Рекомендуется соблюдать диету с ограничением продуктов, содержащих кальций, и выпивать более 1,5–2 литров воды в день.
Для лечения фосфатных камней применяются такие препараты, как аммония хлорид и метионин, которые снижают pH мочи и тем самым предотвращают образование камней, так как щелочная среда способствует их образованию. Лечение комбинируется с диетой, исключающей молочные продукты и цитрусовые, с увеличением потребления мясных продуктов.
При цистиновых камнях назначаются пенициллинамид и лимонная кислота для повышения pH мочи. Объем жидкости, потребляемой в день, должен составлять более 3 литров. Лечение кальциевых камней включает в себя соблюдение диеты и увеличение водного режима.
Народные средства и диета
Широко применяется марена красильная, отвар из корней этого растения обладает противовоспалительными и литолитическими свойствами, что позволяет растворять уратные, оксалатные и фосфатные камни. Для приготовления настоя одну столовую ложку измельченных корней заливают 500 мл холодной воды и оставляют на восемь часов. После этого настой процеживают, а корни заливают тем же объемом кипятка и настаивают еще 15 минут. Затем оба настоя объединяют и принимают по 100 мл дважды в день.
Также используются фитопрепараты, содержащие корень золототысячника, шишки хмеля, перечную мяту и другие травы. В домашних условиях можно готовить морсы из клюквы, облепихи, брусники, а также настои из семян дикой моркови. Морсы принимают в течение дня по 500-1000 мл, порциями по 100-200 мл. Эти средства обладают противовоспалительным эффектом и способствуют растворению конкрементов.
Диета при различных типах конкрементов:
| | Запрещенные продукты | Что следует ограничить | Полезные продукты |
| Оксалатные | Цитрусовые, щавель, шпинат, ревень, сухофрукты, острые приправы, горох, фасоль, какао, шоколад, кофе, черный чай | Мясные изделия, томаты, морковь, картофель, сахар, молоко, сливы, свекла | Вода (более 2 л в день), яйца, рыба, огурцы, капуста, салат, лук, фрукты, злаки |
| Фосфатные | Щелочные воды, фасоль, горох | Молоко, фрукты, картофель, яйца | Водный режим более 2 л в день, мясные продукты, рыба, сыры, хлеб, каши, макароны, масло |
| Уратные | Печень, баранина, рыбная икра, рыба, шоколад, какао, кофе, чай, орехи | Мясо (кроме баранины), мясные и рыбные бульоны, злаки | Водный режим более 2 л, минеральные воды, фрукты, овощи, сахар, растительное и сливочное масло, молоко, обезжиренный творог, картофель |
| Цистиновые | Почки, печень, желатин, копчености, острые блюда | Вареная рыба и мясо (порция не более 200 г 5 раз в неделю), яйца (не более одного в неделю), мучные изделия, бобовые | Цитрусовые, арбуз, березовый сок, виноград в любом виде, гранат, груша, земляника, клубника, картофель, морковь, орехи, смородина, яблоки |
Существенным аспектом в лечении мочекаменной болезни является изменение образа жизни, рациона питания и режима потребления жидкости. Без этих изменений даже хирургические вмешательства не могут гарантировать полное выздоровление. При несоблюдении диеты в большинстве случаев происходит обострение заболевания, что может потребовать повторных процедур дробления или удаления камней.
Источники
- Аполихин О.И., Сивков А.В., Москалева Н.Г., Солнцева Т.В., Комарова В.А. Исследование заболеваемости и смертности от уронефрологических заболеваний в России за десятилетие (2002-2012 гг.) на основе официальной статистики // Экспериментальная и клиническая урология, 2014, № 2, с. 4-12.
- European Association of Urology. Карманные рекомендации по уролитиазу 2015, с. 315-346.
- Современные подходы к диагностике и терапии хронической болезни почек: Методические рекомендации для врачей / Под ред. Е.М. Шилова. – Саратов, 2011. – 60 с.
- Locatelli F., Pozzoni P., Del Vecchio L. Эпидемиология хронической болезни почек в Италии: возможные терапевтические подходы // J. Nephrol. – 2003. – N16. – С. 1-10.
- Doble B. W., Woodgett J. R. Роль гликогенсинтазы-3 в судьбе клеток и эпителиально-мезенхимальных переходах // Cells Tissues Organs. – 2007. – Т. 185. – С. 73-84.
- Дзеранов Н.К., Бешлиев Д.А. Лечение мочекаменной болезни – это комплексная медицинская задача // Сonsilium– medicum: приложение. Урология. 2003. С. 18–22.
- Тареева И.Е., Кухтевич А.В. Почечнокаменная болезнь // Нефрология. М.: Медицина, 2000. С. 413–421.
- Micali S., Grande M., Sighinolfi M.C. и др. Медикаментозная терапия уролитиаза // J. Endourol. – 2006. – Т. 20, № 11. – С. 841–847.
- Stamatelou KK, Francis ME, Jones CA, Nyberg LM, Curhan GC. Динамика распространенности мочекаменной болезни в США: 1976-1994. Kidney Int. 2003 Май;63(5):1817-23.
- Johri N, Cooper B, Robertson W, Choong S, Rickards D, Unwin R. Обновление и практическое руководство по лечению почечных камней. Nephron Clin Pract. 2010;116(3):c159-71.
Профилактика мочекаменной болезни
Профилактика мочекаменной болезни включает в себя комплекс мероприятий, направленных на снижение риска образования камней в мочевыводящих путях. Основные аспекты профилактики можно разделить на несколько категорий: изменение образа жизни, корректировка питания, поддержание водного баланса и регулярные медицинские обследования.
Изменение образа жизни. Один из ключевых факторов, способствующих образованию камней, — это малоподвижный образ жизни. Регулярная физическая активность помогает улучшить обмен веществ и способствует нормализации работы почек. Рекомендуется заниматься спортом не менее 30 минут в день, что может включать в себя как кардионагрузки, так и силовые тренировки.
Корректировка питания. Питание играет важную роль в профилактике мочекаменной болезни. Следует избегать избыточного потребления продуктов, богатых оксалатами (шпинат, свекла, шоколад), а также соли и белка животного происхождения. Вместо этого рекомендуется включать в рацион больше овощей, фруктов и цельнозерновых продуктов. Употребление кальция также должно быть сбалансированным: недостаток кальция может привести к повышению уровня оксалатов в моче, что, в свою очередь, увеличивает риск образования камней.
Поддержание водного баланса. Одним из самых эффективных способов профилактики мочекаменной болезни является достаточное потребление жидкости. Вода помогает разбавить мочу и уменьшить концентрацию веществ, способствующих образованию камней. Рекомендуется пить не менее 2 литров воды в день, особенно в жаркое время года или при повышенной физической активности. Также стоит обратить внимание на цвет мочи: светло-желтый цвет свидетельствует о достаточном уровне гидратации.
Регулярные медицинские обследования. Мужчинам, особенно тем, кто имеет предрасположенность к мочекаменной болезни, рекомендуется проходить регулярные медицинские обследования. Это может включать в себя анализы мочи и крови, а также ультразвуковое исследование почек. Раннее выявление возможных проблем позволит своевременно принять меры и избежать серьезных последствий.
В заключение, профилактика мочекаменной болезни требует комплексного подхода, включающего в себя изменения в образе жизни, рационе питания, поддержание водного баланса и регулярные медицинские проверки. Соблюдение этих рекомендаций поможет снизить риск образования камней и поддерживать здоровье мочевыводящей системы.
Осложнения мочекаменной болезни
Мочекаменная болезнь, или уролитиаз, может привести к различным осложнениям, которые значительно ухудшают качество жизни пациента и могут угрожать его здоровью. Одним из наиболее распространенных осложнений является обструкция мочевых путей, вызванная блокировкой камнем. Это состояние может привести к накоплению мочи в почках, что, в свою очередь, вызывает гидронефроз — расширение почечной лоханки и ухудшение функции почек.
Другим серьезным осложнением является инфекция мочевых путей. При наличии камней в мочевом пузыре или почках увеличивается риск бактериального размножения, что может привести к пиелонефриту — воспалению почек. Симптомы этого состояния могут включать высокую температуру, озноб, боль в пояснице и общее недомогание. Важно отметить, что инфекция может развиваться быстро и требует немедленного медицинского вмешательства.
Кроме того, мочекаменная болезнь может привести к хронической почечной недостаточности. Постоянное повреждение почек из-за обструкции и инфекции может нарушить их функцию, что в конечном итоге приведет к необходимости диализа или трансплантации почки. Хроническая почечная недостаточность может проявляться такими симптомами, как усталость, отеки, изменения в мочеиспускании и повышение артериального давления.
Еще одним осложнением является рецидивирующая мочекаменная болезнь. У мужчин, перенесших один эпизод формирования камней, вероятность повторного появления камней значительно возрастает. Это связано с тем, что предрасполагающие факторы, такие как неправильное питание, недостаток жидкости и генетическая предрасположенность, могут сохраняться. Рецидивы могут потребовать повторного лечения и увеличивают риск развития более серьезных осложнений.
Наконец, стоит упомянуть о возможности развития уретральной стриктуры — сужения уретры, которое может возникнуть в результате воспалительных процессов или травм, связанных с камнями. Это состояние может привести к затруднениям при мочеиспускании и требует хирургического вмешательства для восстановления нормального просвета уретры.
Таким образом, мочекаменная болезнь у мужчин может вызывать множество осложнений, которые требуют внимательного отношения и своевременного лечения. Профилактика, включая правильное питание, достаточное потребление жидкости и регулярные медицинские осмотры, играет ключевую роль в снижении риска этих осложнений.
Роль наследственности в развитии заболевания
Наследственность играет значительную роль в предрасположенности к мочекаменной болезни (МКБ) у мужчин. Исследования показывают, что наличие случаев МКБ в семейном анамнезе увеличивает риск развития заболевания у потомков. Генетические факторы могут влиять на обмен веществ, что, в свою очередь, может приводить к образованию камней в почках.
Существует несколько генетических заболеваний, которые могут способствовать образованию камней. Например, цистинурия — это наследственное заболевание, при котором нарушается обмен цистина, что приводит к его накоплению и образованию камней. Также стоит отметить гипероксалурию, которая связана с повышенным уровнем оксалата в моче и может быть наследственной. Эти состояния требуют особого внимания и могут быть выявлены с помощью генетического тестирования.
Кроме того, наследственные факторы могут влиять на анатомические особенности мочевыводящих путей, что также может способствовать образованию камней. Например, некоторые мужчины могут иметь предрасположенность к аномалиям в строении почек или мочеточников, что может затруднять нормальный отток мочи и приводить к застою, способствующему образованию камней.
Важно отметить, что наследственность не является единственным фактором, способствующим развитию мочекаменной болезни. Однако, если в семье есть случаи заболевания, это может служить сигналом для более внимательного отношения к своему здоровью и профилактическим мерам. Регулярные медицинские осмотры, анализы мочи и крови, а также соблюдение здорового образа жизни могут помочь снизить риск развития МКБ, особенно у мужчин с наследственной предрасположенностью.
Таким образом, понимание роли наследственности в развитии мочекаменной болезни может помочь в ранней диагностике и профилактике заболевания, что особенно важно для мужчин, находящихся в группе риска.



