Гидрокаликоз почек — патологическое состояние, проявляющееся расширением почечных лоханок и чашечек, что может привести к серьезным осложнениям, особенно у мужчин. В статье рассмотрим основные понятия, этиологию, патогенез, классификацию и клиническую картину заболевания. Также будут представлены методы диагностики и современные подходы к лечению гидрокаликоза, что поможет читателям лучше понять проблему и своевременно обратиться за медицинской помощью. Информация будет полезна как пациентам, так и медицинским специалистам, стремящимся повысить осведомленность о данном заболевании.
Основная информация
Гидрокаликоз почек у мужчин представляет собой патологическое состояние, при котором наблюдается расширение и растяжение чашечно-лоханочного аппарата, что приводит к сжатию тканей почки. Основной причиной возникновения гидрокаликоза, который не является отдельным заболеванием, а лишь одним из симптомов заболеваний мочевыводящей системы, является нарушение нормального оттока мочи, образующейся в почках.
При развитии расширения чашечек и лоханок почки на любом уровне мочевыводящего тракта возникает блокировка, затрудняющая прохождение мочи. Если такое изменение затрагивает только одну сторону мочевыводящего тракта, то возникает одностороннее поражение (гидрокаликоз правой или левой почки).
Медицинские препараты (лекарства, витамины, БАД) упоминаются исключительно для ознакомления. Мы настоятельно не рекомендуем их использовать без назначения врача. Рекомендуем ознакомиться с материалом: «Почему нельзя принимать медицинские препараты без назначения врача?».
При поражении обеих почек развивается двухсторонний гидрокаликоз – в этом случае поражение может происходить одновременно или с временным интервалом, однако прогноз в таких случаях оказывается менее благоприятным, чем при изолированном повреждении. Отсутствие своевременного и адекватного лечения может привести к прогрессирующей почечной недостаточности.
Следует отметить, что процесс чаще всего наблюдается с правой стороны. Гидрокаликоз верхней чашки (синдром Фрелея или изолированный гидронефроз) встречается чаще всего. К возникновению этого состояния приводит наличие внутрипочечного сосуда, который сжимает выходное отверстие большой чашечки в области сфинктера Диссе. В результате такой обструкции и повышения давления внутри чашечки происходят разрывы форниксов, что проявляется эритроцитурией. Иногда это состояние осложняется развитием вторичного пиелонефрита.
Гидрокаликоз почек у мужчин представляет собой патологическое состояние, характеризующееся расширением почечных лоханок и чашечек, вызванным нарушением оттока мочи. Врачи отмечают, что данное заболевание может быть следствием различных факторов, включая мочекаменную болезнь, опухоли или стриктуры мочеточников. Симптомы могут варьироваться от болей в пояснице до нарушений мочеиспускания.
Методы лечения гидрокаликоза зависят от причины его возникновения. Врачами рекомендуется консервативное лечение, включая обезболивающие и противовоспалительные препараты, в случае незначительных нарушений. Однако при наличии камней или других препятствий может потребоваться хирургическое вмешательство, такое как уретероскопия или нефрэктомия. Важно, чтобы мужчины, столкнувшиеся с этой проблемой, своевременно обращались к специалистам для диагностики и выбора оптимального метода лечения, что позволит избежать серьезных осложнений и сохранить здоровье почек.
https://youtube.com/watch?v=OSu4meV3NZc
Причины
Определить точную причину заболевания возможно лишь в ходе всестороннего обследования.
Различные препятствия, такие как новообразования или воспалительные процессы, могут стать причиной гидрокаликоза, вызывая задержку или полную непроходимость мочи на ее пути от почечных фильтров до выхода из организма.
Существуют ренальные причины, связанные с патологическими изменениями в самих почках, и экстраренальные. К основным факторам, способствующим развитию этой болезни, относятся:
- Мочекаменная болезнь, при которой в почках и мочевыводящих путях образуются камни, мешающие нормальному оттоку мочи.
- Нефроптоз: у некоторых людей эта патология может быть связана с особенностями строения мочеточника.
- Врожденные аномалии сосудов, а также поражение лимфатических сосудов, расположенных за брюшиной.
- Врожденные дефекты развития почек, которые также могут привести к различным патологиям, включая гидрокаликоз.
- Нарушения в работе околопочечных вен.
- Патология может возникнуть на фоне доброкачественных или злокачественных опухолей в тканях почек или забрюшинного пространства, так как опухоль может сжимать мочеточник, что нарушает отток мочи.
- Запущенный пиелонефрит может привести к множеству осложнений, среди которых гидрокаликоз.
- Травмы мочеточника также могут стать причиной развития данной патологии.
- Рубцовые изменения в мочеточнике представляют опасность для здоровья и могут способствовать возникновению гидрокаликоза.
- Туберкулез почек и прогрессирование паразитарных инфекций в мочеполовой системе.
| Аспект | Описание | Методы лечения |
|---|---|---|
| Определение | Расширение почечных чашечек и лоханки, вызванное нарушением оттока мочи. | Устранение причины обструкции, медикаментозная терапия, хирургическое вмешательство. |
| Причины | Мочекаменная болезнь, стриктуры мочеточника, опухоли, врожденные аномалии, инфекции. | Зависят от причины: литотрипсия, стентирование, резекция опухоли, пластика мочеточника, антибиотикотерапия. |
| Симптомы | Боль в пояснице, дизурия, гематурия, лихорадка, озноб, тошнота, рвота. | Симптоматическое лечение: анальгетики, спазмолитики, противорвотные средства, антипиретики. |
| Диагностика | УЗИ почек, КТ почек, экскреторная урография, цистоскопия, общий анализ мочи, биохимический анализ крови. | Не является методом лечения, а способом выявления и оценки состояния. |
| Осложнения | Пиелонефрит, почечная недостаточность, гидронефроз, уросепсис, атрофия почечной паренхимы. | Лечение осложнений: антибиотикотерапия, диализ, нефрэктомия (в крайних случаях). |
| Профилактика | Достаточное потребление жидкости, своевременное лечение урологических заболеваний, регулярные медицинские осмотры. | Не является методом лечения, а способом предотвращения развития и прогрессирования заболевания. |
Классификация
В зависимости от источника возникновения выделяют два типа гидрокаликоза: врожденный и приобретенный. По характеру течения заболевание можно классифицировать на острое и хроническое.
Согласно локализации, патология подразделяется на три категории:
- Гидрокаликоз правой почки. В правой части мочевыводящего канала наблюдается расширение чашечек и лоханки, что создает препятствие для нормального оттока мочи.
- Гидрокаликоз левой почки. Проблемы с отведением мочи возникают с левой стороны.
- Двусторонний гидрокаликоз. Препятствие для оттока урины наблюдается в обеих почках. Этот тип встречается в 10-15% всех случаев заболевания.
https://youtube.com/watch?v=3gi2hOo5rVo
Клиника
На начальных стадиях гидрокаликоза клинические симптомы, как правило, отсутствуют, и пациенты не испытывают никаких дискомфортных ощущений, что делает заболевание бессимптомным.
Следует обратить внимание на состояние пациента, если его начинают беспокоить постоянные тупые или сильные боли в пояснице. Эти боли возникают из-за увеличения давления внутри почек и последующего растяжения капсулы почки, где расположены болевые рецепторы. Позже могут появиться озноб и резкое повышение температуры тела. Эти симптомы часто сопровождаются острой задержкой мочи, при устранении которой признаки могут ослабевать.
Среди настораживающих признаков, указывающих на развитие гидрокаликоза, можно выделить затрудненный отток мочи, внезапное повышение температуры до фебрильных значений и боли в пояснице.
Наиболее типичными симптомами гидрокаликоза являются:
- озноб;
- повышение температуры тела до фебрильных значений;
- тошнота и рвота;
- задержка мочи или учащенное мочеиспускание;
- изменения в моче: она становится мутной, темной, могут быть заметны следы крови и осадок;
- тупые или острые продолжительные боли в нижней части живота и области почек, усиливающиеся при нажатии в пояснице.
Диагностика
При появлении признаков гидрокаликоза необходимо обратиться к специалисту — урологу или нефрологу.
Для диагностики гидрокаликоза почек у мужчин проводят следующие исследования:
- общий и биохимический анализы крови и мочи;
- ультразвуковое исследование почек;
- рентгенографию области живота;
- экскреторную урографию;
- ретроградную пиелографию;
- компьютерную томографию (КТ) или магнитно-резонансную томографию (МРТ).
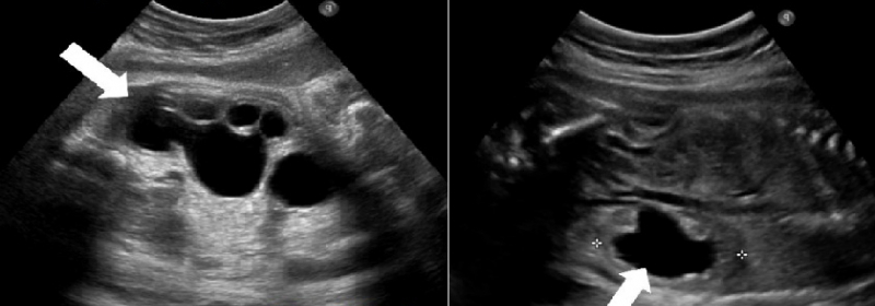
Наиболее распространенными методами диагностики являются УЗИ и экскреторная урография.
Гидрокаликоз может быть выявлен у плода еще в утробе матери. Для подтверждения таких состояний проводится скрининг во время беременности, а также ультразвуковое исследование сразу после рождения. Врач определяет наличие патологии у плода и новорожденного, основываясь на выявленных аномалиях в развитии мочевыделительной системы.
https://youtube.com/watch?v=o1K5Iao6s84
Лечение
Если лечение гидрокаликоза не начинается вовремя, это может привести к развитию гидронефроза. Двусторонний гидрокаликоз способен вызвать хроническую почечную недостаточность и уросепсис, поэтому терапия должна начинаться при первых признаках заболевания. В большинстве случаев для устранения гидрокаликоза требуется хирургическое вмешательство.
При выборе лечебной стратегии врач учитывает причины, которые способствовали возникновению заболевания. Важно подчеркнуть, что лечение гидрокаликоза должно быть комплексным:
- Медикаментозная терапия направлена на снятие болевого синдрома (используются спазмолитики и обезболивающие, такие как Но-шпа и Кеторолак). Также назначаются препараты для борьбы с инфекцией (антибактериальные средства и уроантисептики, например, Норфлоксацин и Фурадонин). В зависимости от симптомов могут быть рекомендованы жаропонижающие средства (например, Аспирин).
- Если наблюдается повышение артериального давления из-за нарушений почечного кровотока, врач назначает специальные препараты (антигипертензивные средства, такие как Лосартан, Эналаприл и Каптоприл).
- Параллельно проводится диагностика и лечение заболеваний, которые стали причиной каликоэктазии.
- При наличии мочекаменной болезни назначаются препараты, способствующие растворению камней или облегчению их выведения. Также рекомендуется проводить профилактические мероприятия для предотвращения осложнений.
- При необходимости медикаментозное лечение может быть дополнено методами нетрадиционной медицины. Народные средства обычно применяются для лечения легких форм заболевания без серьезных осложнений и только после консультации с врачом. В качестве народных средств используются отвары из плодов клюквы, брусники, шиповника и ягодные морсы.
Хирургическое вмешательство назначается, если медикаментозная терапия не дает ожидаемых результатов. Существует два типа хирургических операций: эндоскопические и полостные. Эндоскопия представляет собой современный метод лечения, сопоставимый с полноценной операцией. Среди ее вариантов выделяют стентирование мочевых путей, которое позволяет отводить мочу через специальные трубки (стенты). Полостная операция обычно показана при наличии крупных камней в почках.
Профилактика
После завершения лечения пациенту важно регулярно проходить профилактические мероприятия, чтобы предотвратить повторное возникновение заболевания. Для этого следует:
- ежегодно сдавать анализы, делать УЗИ почек и при необходимости проходить другие обследования;
- уменьшить потребление белковой пищи;
- увеличить объем потребляемой жидкости;
- исключить из рациона острые, жирные и соленые блюда;
- добавить в рацион больше молочных продуктов;
- употреблять больше фруктов и овощей, за исключением яблок и капусты;
- строго избегать переохлаждений.
Исход заболевания во многом зависит от степени выраженности гидрокаликоза. При двустороннем процессе, а также при наличии осложнений (инфекционных, перехода в почечную недостаточность и т. д.) прогноз становится менее благоприятным.
Источники
- Обсуждение аномалий мочеполовой системы. Научная статья по специальности «Клиническая медицина» Рыбка Анастасия Михайловна, Худоногова Ольга Николаевна, Скрябина И.А., Лукьяненко А.Г.
- Лопаткин Н.А. Руководства по урологии. — Москва: Медицина, 1998. — Том 2. — Страница 190.
- Комяков Б.К. Урология: учебное пособие. — 2-е издание, переработанное и дополненное. — Москва: ГЭОТАР-Медиа, 2018. — Страница 168.
- Лечение функциональных расстройств опорожнения мочевого пузыря. Г. Г. Кривобородов, М. Е. Школьников 22 ноября 2004 года.
Осложнения
Гидрокаликоз почек у мужчин может привести к различным осложнениям, которые могут существенно повлиять на общее состояние здоровья и качество жизни. Одним из наиболее серьезных последствий является развитие хронической почечной недостаточности. При длительном существовании гидрокаликоза происходит прогрессирующее повреждение почечной ткани, что может привести к снижению функции почек и необходимости в диализе или трансплантации.
Еще одним осложнением является инфекция мочевыводящих путей. Застой мочи в почках создает благоприятные условия для размножения бактерий, что может привести к пиелонефриту. Инфекция может проявляться симптомами, такими как высокая температура, озноб, боли в пояснице и учащенное мочеиспускание. Важно своевременно диагностировать и лечить инфекции, чтобы предотвратить дальнейшие осложнения.
Кроме того, гидрокаликоз может способствовать образованию камней в почках. Застой мочи и изменения в ее химическом составе могут привести к кристаллизации солей и образованию камней, что в свою очередь может вызвать сильные боли и дополнительные проблемы с мочевыводящей системой.
Не менее важным осложнением является артериальная гипертензия. Изменения в почечной функции могут привести к нарушению регуляции артериального давления, что увеличивает риск сердечно-сосудистых заболеваний. У мужчин с гидрокаликозом необходимо регулярно контролировать уровень артериального давления и при необходимости проводить соответствующее лечение.
Также стоит отметить, что гидрокаликоз может оказывать влияние на репродуктивную функцию. Изменения в гормональном фоне и общее ухудшение состояния здоровья могут негативно сказаться на фертильности мужчин. Поэтому важно учитывать возможные последствия для репродуктивной системы при диагностике и лечении гидрокаликоза.
В заключение, осложнения, связанные с гидрокаликозом почек у мужчин, могут быть серьезными и многообразными. Поэтому ранняя диагностика и адекватное лечение являются ключевыми факторами для предотвращения этих осложнений и сохранения здоровья пациента.
Прогноз
При гидрокаликозе почек у мужчин зависит от нескольких факторов, включая степень заболевания, причину его возникновения, а также своевременность и адекватность лечения. Гидрокаликоз, представляющий собой расширение почечных лоханок и чашечек, может быть вызван различными причинами, такими как мочекаменная болезнь, опухоли, стриктуры мочеточников или воспалительные процессы. Важно отметить, что чем раньше будет установлен диагноз и начато лечение, тем более благоприятным будет прогноз.
При легких формах гидрокаликоза, когда заболевание не сопровождается выраженными симптомами и не приводит к значительным нарушениям функции почек, прогноз обычно благоприятный. В таких случаях возможно полное восстановление функции почек после устранения причины, вызвавшей гидрокаликоз. Например, если причиной является наличие камней, их удаление может привести к нормализации состояния.
Однако при запущенных формах заболевания, когда происходит значительное повреждение почечной ткани или развиваются осложнения, такие как пиелонефрит или почечная недостаточность, прогноз может быть менее оптимистичным. В таких случаях может потребоваться более сложное лечение, включая хирургическое вмешательство, и восстановление функции почек может занять длительное время или быть невозможным.
Также стоит учитывать, что у мужчин, как правило, гидрокаликоз может развиваться на фоне других заболеваний мочеполовой системы, что также может негативно сказаться на прогнозе. Например, наличие аденомы простаты может способствовать развитию обструкции мочевых путей, что в свою очередь усугубляет состояние почек.
Важным аспектом является регулярное наблюдение у врача и выполнение всех рекомендаций по лечению. Это включает в себя не только медикаментозную терапию, но и изменение образа жизни, диету и физическую активность. В случае необходимости, пациентам могут быть рекомендованы дополнительные методы диагностики, такие как УЗИ или КТ, для мониторинга состояния почек и выявления возможных осложнений.
Таким образом, при гидрокаликозе почек у мужчин может варьироваться от благоприятного до серьезного, в зависимости от множества факторов. Своевременное обращение к врачу и адекватное лечение играют ключевую роль в улучшении исхода заболевания.
Рекомендации по образу жизни
При наличии гидрокаликоза почек у мужчин важно учитывать, что образ жизни может существенно повлиять на течение заболевания и эффективность лечения. В этом разделе мы рассмотрим основные рекомендации, которые помогут улучшить состояние пациента и снизить риск осложнений.
1. Правильное питание: Сбалансированное питание играет ключевую роль в поддержании здоровья почек. Рекомендуется уменьшить потребление соли, так как избыток натрия может способствовать задержке жидкости и повышению артериального давления. Употребление достаточного количества фруктов и овощей, богатых клетчаткой и антиоксидантами, поможет улучшить обмен веществ и поддержать иммунную систему. Также стоит ограничить потребление белка, особенно животного происхождения, чтобы снизить нагрузку на почки.
2. Поддержание водного баланса: Важно следить за достаточным потреблением жидкости. Рекомендуется пить не менее 1,5-2 литров воды в день, если нет противопоказаний. Это поможет предотвратить образование камней и улучшить отток мочи, что особенно важно при гидрокаликозе.
3. Физическая активность: Регулярные физические нагрузки способствуют улучшению кровообращения и обмена веществ. Умеренные физические упражнения, такие как ходьба, плавание или йога, могут помочь поддерживать нормальный вес и снизить риск развития сопутствующих заболеваний, таких как диабет и гипертония, которые могут негативно влиять на здоровье почек.
4. Избегание вредных привычек: Курение и злоупотребление алкоголем могут усугубить состояние почек и привести к развитию дополнительных осложнений. Отказ от этих привычек положительно скажется на общем состоянии здоровья и поможет в лечении гидрокаликоза.
5. Регулярные медицинские осмотры: Мужчинам с диагнозом гидрокаликоз рекомендуется проходить регулярные обследования у нефролога. Это позволит контролировать состояние почек, выявлять возможные осложнения на ранних стадиях и корректировать лечение при необходимости.
6. Управление стрессом: Хронический стресс может негативно сказаться на здоровье в целом, включая функции почек. Практики релаксации, такие как медитация, дыхательные упражнения и занятия хобби, могут помочь снизить уровень стресса и улучшить общее самочувствие.
Следуя этим рекомендациям, мужчины с гидрокаликозом почек могут значительно улучшить качество своей жизни и снизить риск развития осложнений. Однако важно помнить, что любые изменения в образе жизни должны обсуждаться с лечащим врачом, чтобы избежать негативных последствий и обеспечить эффективное лечение.

